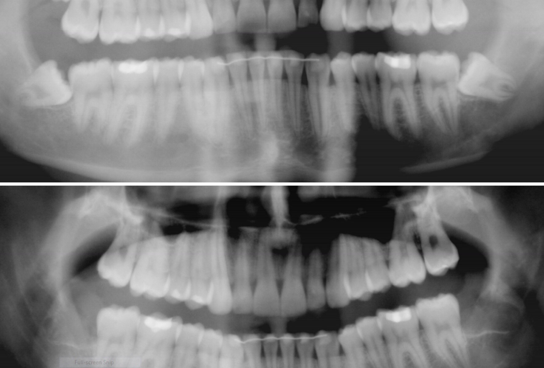
Lack of space, misalignment of teeth, and bacterial food traps are the reason we like to remove wisdom teeth. Wisdom teeth can be removed with different levels of sedation including general, IV moderate, nitrous and oral. Everyone has different needs.


