What toothpaste do you recommend? Are they all the same?
Not all toothpaste are the same – toothpaste come with a wide variety of different ingredients to help fight bacteria. These ingredients help to stop cavities through the process of remineralization and pH neutralization to help stop the acidic attack from the foods that we consume daily.
Remineralization happens with the ingredient hydroxyapatite, which is the natural form of calcium that makes up the main mineral in tooth enamel. Xylitol is a natural sweetener that reduces levels of decay-causing bacteria by raising saliva pH to make the oral environment more friendly to facilitate remineralization. These ingredients have been tested for safety and effectiveness.
Many oral health brands that we trust will choose to use sorbitol instead of xylitol due to costs. Sorbitol has no benefit for tooth health and is used exclusively to improve the taste of toothpaste. The unfortunate thing is that the bacteria responsible for causing tooth decay (S. Mutans) can use sorbitol for energy.
Lastly, it is important to consider how abrasive your toothpaste is. This is known as the RDA value. A low RDA value is good because it means it is a low abrasive. We do not want our toothpaste to be highly abrasive due to toothbrush abrasion. Toothbrush abrasion or “overbrushing” can lead to sensitive teeth and receding gums.

CariFree toothpaste CTx 1100 – stands for caries treatment 1100ppm fluoride

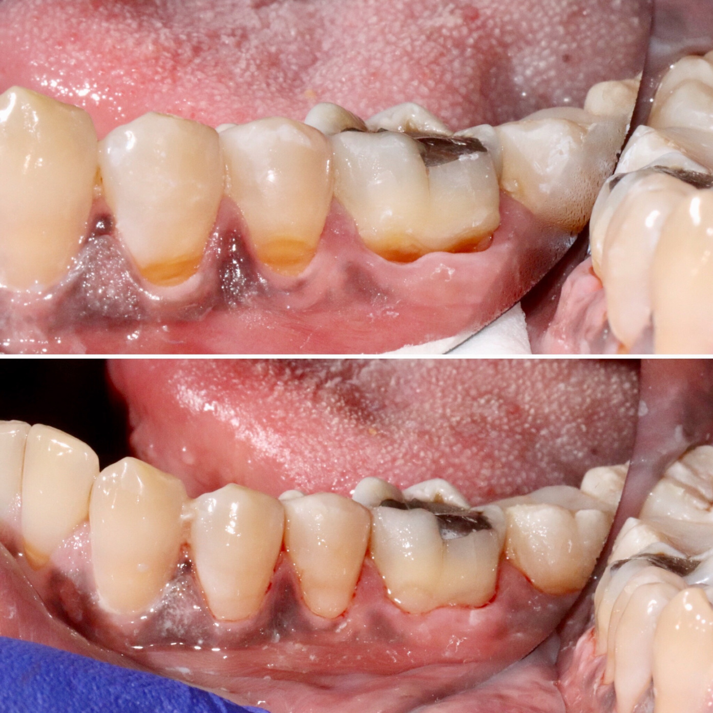
This case on the right shows the effects of toothbrush abrasion with receding gums and exposed yellow dentin near the gumline. In this case, we added bonding to decrease sensitivity and stop the abrasion from getting larger. “Whitening” toothpaste have a high RDA value.
CariFree toothpaste CTx 1100 (which stands for caries treatment 1100ppm fluoride) has a low RDA value, uses fluoride for remineralization, and xylitol to raise pH levels. Below is a chart from the Kois Center which shows all the RDA values of all the current toothpaste available in 2018. If you download the chart, you may be very surprised with what your current toothpaste is doing to your teeth.


