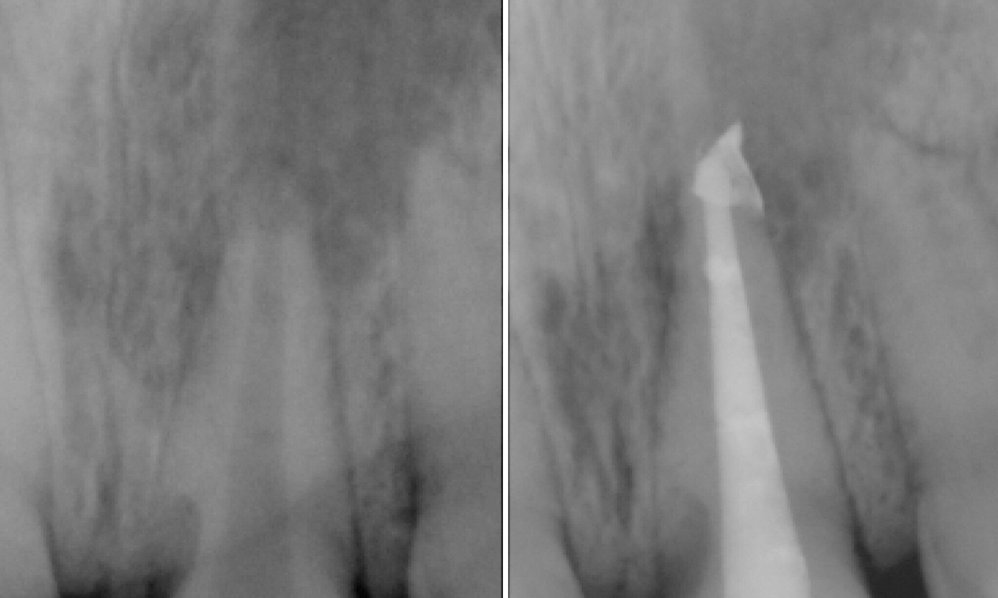
Trauma CAN cause infection. After suffering from an accidental hit to the face, this patient began to have pus draining through her gums. Root canal therapy was completed to remove the bacteria inside the tooth. It is important that the entire canal is cleaned out and sealed.


