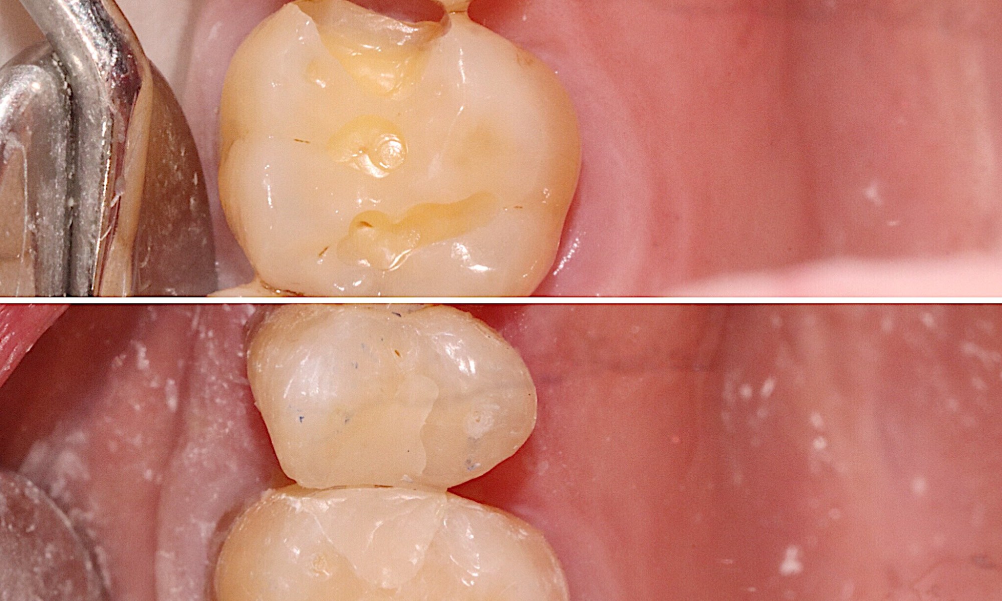
We recommend x-rays at regular appointments to ensure we catch the cavities that grow in between teeth. A good filling will last and it is important to ensure no leakage. Flossing is the best way to prevent cavities that grow in between.

We recommend x-rays at regular appointments to ensure we catch the cavities that grow in between teeth. A good filling will last and it is important to ensure no leakage. Flossing is the best way to prevent cavities that grow in between.