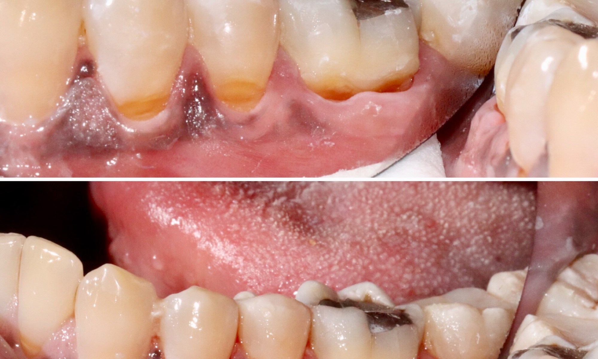
Stress can manifest in many ways. For this patient, the stress in her life as a mom led to unnecessary clenching. Constant and excessive forces on her teeth created yellow notches known as abfractions. This is not a case of “brushing too hard”. Bonding was added to protect root surface and decrease sensitivity. Patient will be wearing her custom nightguard.


