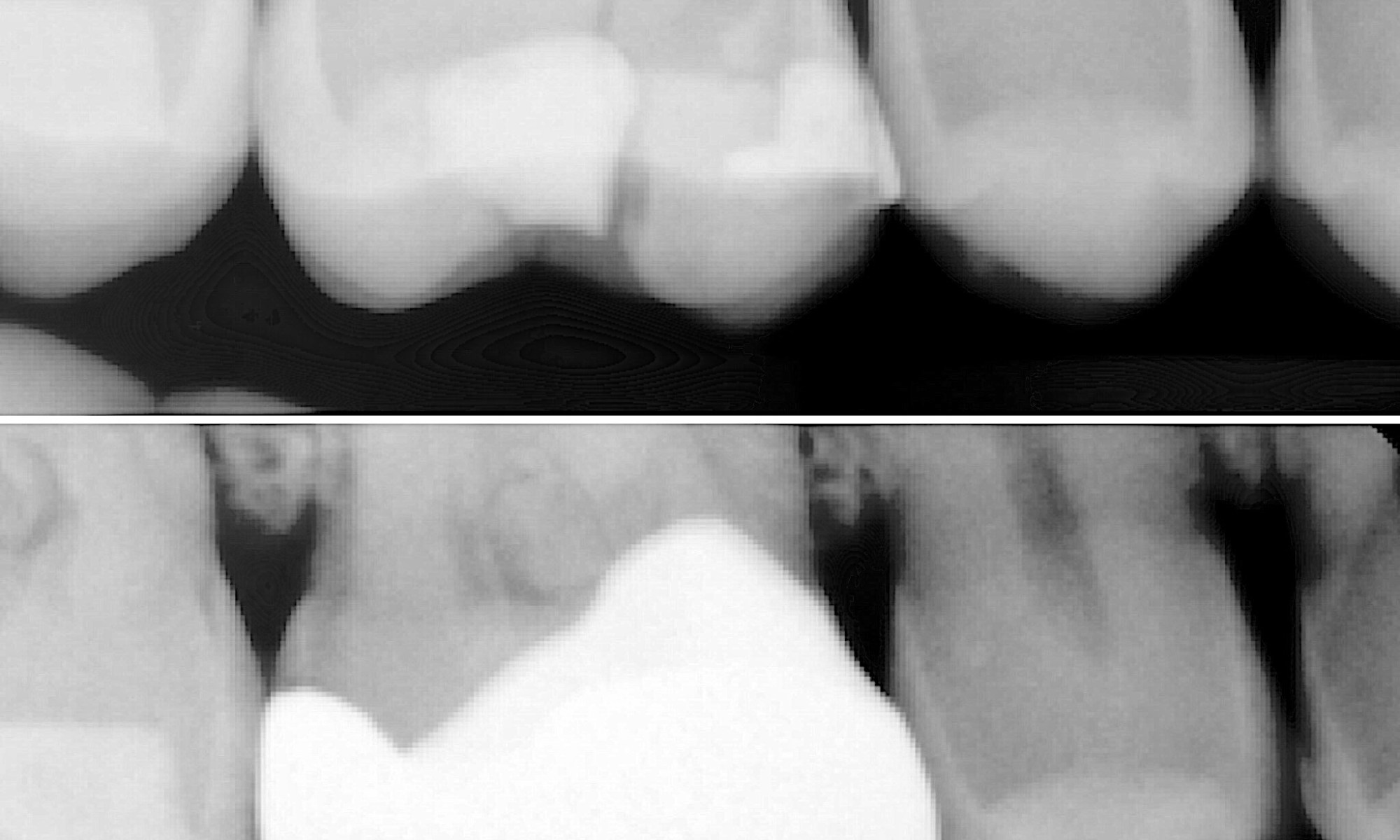
Can you spot the vertical fracture very close to the pulp chamber? This was corrected with full zirconia crown. Happy patient.

Can you spot the vertical fracture very close to the pulp chamber? This was corrected with full zirconia crown. Happy patient.