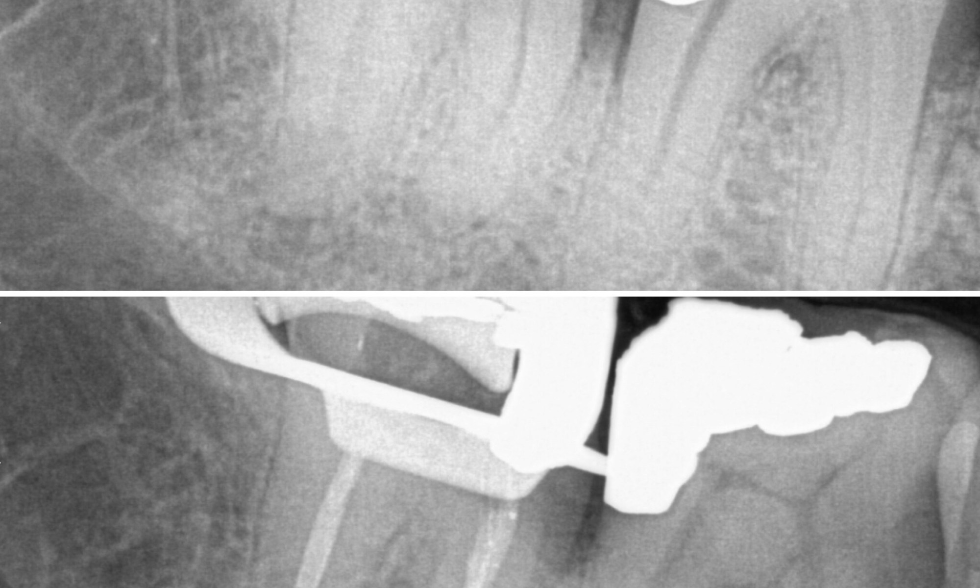
Had the great privilege to treat my senior dentist. Dentists also require treatment and regular hygiene! Related