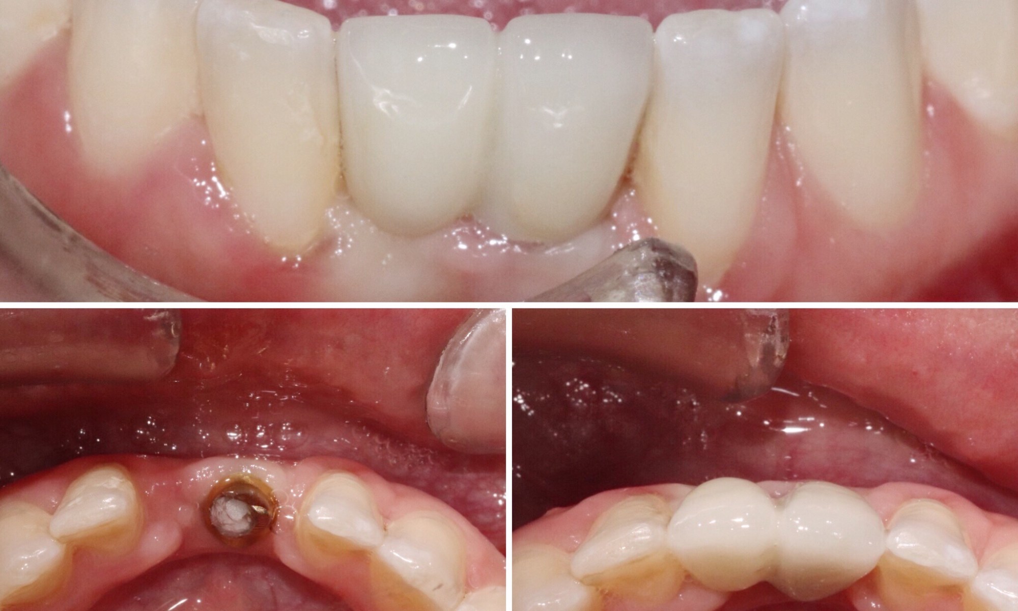
Implant to replace missing two front bottom teeth. Great option to hold the bone in place and to have a non-removable option. Patient can smile now. 🙂

Implant to replace missing two front bottom teeth. Great option to hold the bone in place and to have a non-removable option. Patient can smile now. 🙂