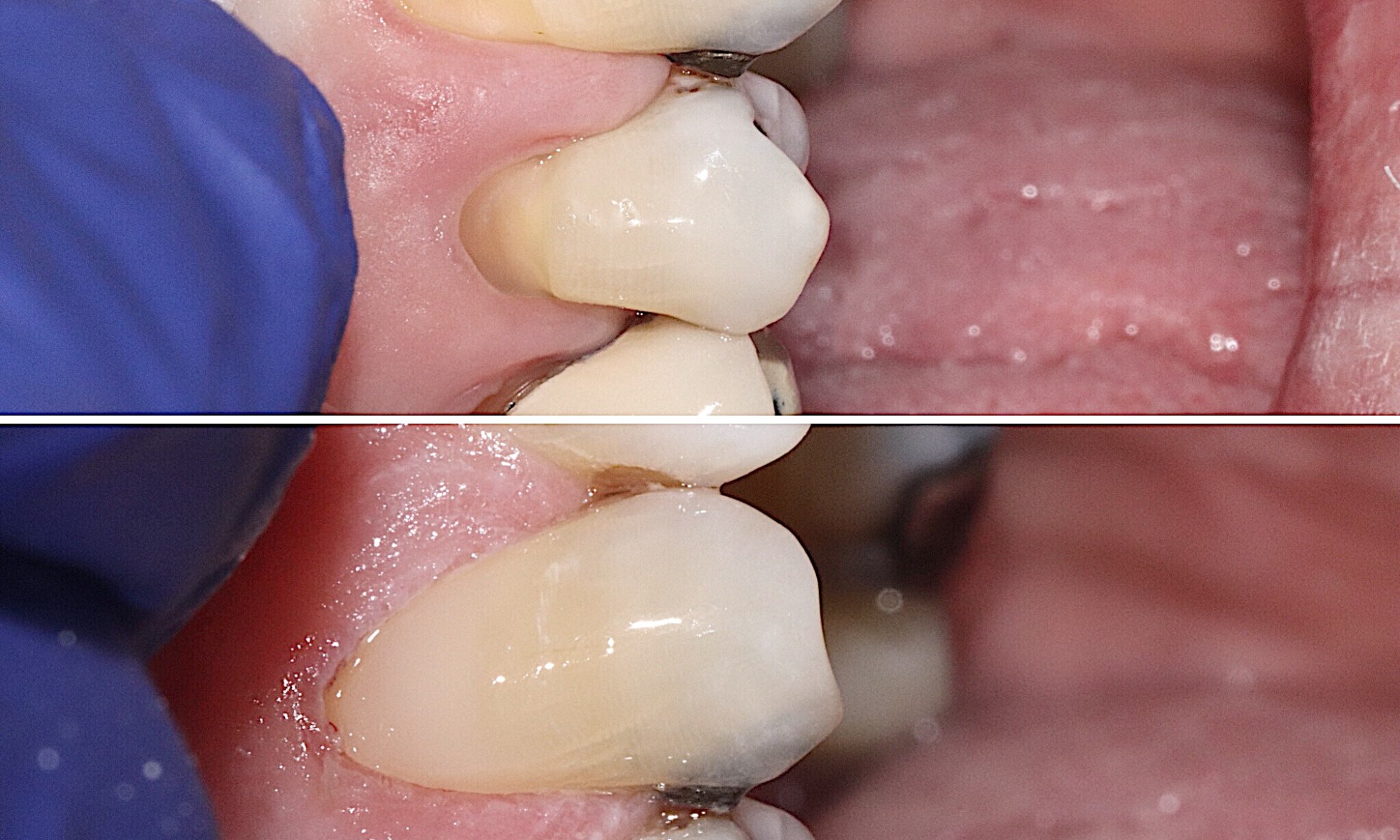
This patient came in with a concern of notching around the teeth causing “sensitivity” and “food getting stuck”. Bonding was used to replace the lost enamel. This notch aka abfraction is caused from habitual clenching, dysfunctional occlusion, and acidic diet.


